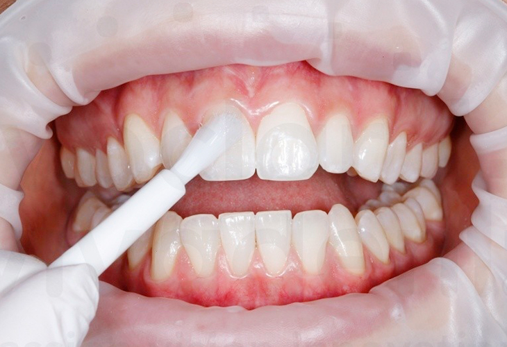
ПРОФЕССИОНАЛЬНАЯ ГИГИЕНА ПОЛОСТИ РТА
Процедура направленная на удаление отложений с поверхности зубов и десен
Запись на прием
Заполните форму ниже и мы свяжемся с вами для подтверждения записи
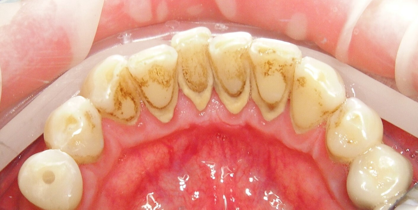
ПОКАЗАНИЯ
Твердый/мягкий зубной налет
ПРЕИМУЩЕСТВА
СВЕЖЕЕ ДЫХАНИЕ
Полное устранение неприятного запаха изо рта
ГЛАДКОСТЬ ЗУБОВ
ВРАЧИ С ОПЫТОМ
Высококвалифицированные специалисты с опытом работы более 10 лет
Очистка эмали от налета
и зубного камня
ЗДОРОВЫЕ ДЕСНЫ
Десны становятся здоровее чем были
ЭТАП 2
Полировка зубов

Укрепление эмали
фторсодержащими
средствами
Удаление зубного камня с
помощью ультразвукового
наконечника
1 ЭТАП
ЭТАПЫ
1
2
ЭТАПЫ
3
3 ЭТАП
Реминерализация зубов
Стоматолог-гигиенист
ВРАЧ
ВОПРОСЫ
Полезна ли профессиональная гигиена полости рта?
Профессиональная гигиена полости рта не только полезна, но и необходима. При стоматологическом осмотре врач оценивает степень загрязненности полости рта, качество зубных отложений и исходя из поставленного диагноза , делает назначение.
Мы рекомендуем проводить каждые три месяца
Как часто рекомендуется проводить эту процедуру ?
Это больно?
Профессиональная гигиена в нашей клинике проходит абсолютно безболезненно
г. Долгопрудный , ул. Октябрьская, 13
ТЕЛЕФОН
АДРЕС
EMAIL
КОНТАКТЫ

© All Right Reserved. Tilda Publishing Inc.